
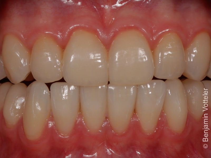
MiYO, makyaj, yapılandırma ve cilalama için kullanılan opalesan ve fluoresan katman malzemelerinden oluşan benzersiz bir likt seramik sistemdir. MiYO ile, sadece renklendirme yapmanın süresine eşdeğer bir zamanda, katmanlı restorasyonlarla karşılaştırıldığında yüksek estetik sonuçlar elde edebilirsiniz.
MİYO Color ve Structure olmak üzere iki ana sistem üzerine kurulmuştur.
Mamelonlar, kırık çizgileri ve halo çizgileri gibi her biri doğanın kendi diş rengini ve yapısını kopyalamak için benzersiz bir şekilde formüle edilmiş, farklı yarı saydamlık düzeylerine sahip farklı türde yüksek saydamlığa sahip renkler.
MiYO Color'un üzerine MiYO Structure katmanı ekliyoruz. MIYO Structure ile doğal mine ve dokuda bulunan derinliği, canlılığı ve dokuyu, 0,1 mm - 0,2 mm'lik benzeri görülmemiş kalınlıklarda yaratabilirsiniz. Yüksek stabilitesi sayesinde, tek tek yüzey yapıları bir fırça ile kolayca uygulanır.
Düşük pişirme sıcaklıkları yüzeyin özelliklerini değiştirmez, bu nedenle yalnızca bir veya iki pişirme ile güvenilir ve estetik sonuçlar elde edilir.